- 診療時間
-
- 9:00~12:00(最終受付11:30)
- 16:00~18:30(最終受付18:00)
- 休診:水曜、日曜午後・祝祭日午後
当院での化学療法の取り組みをご紹介します。
化学療法とは、抗がん剤を使用し、悪性腫瘍の治療をすることです。
抗がん剤は、すべての悪性腫瘍に効果を示すわけではありませんが
血液腫瘍(ex リンパ腫、組織球肉腫)は抗がん剤による治療効果が高く
完治もしくは寛解(悪性腫瘍が体に害を与えない状態)の状態へ導くことがでます。
また、腫瘍が遠隔転移(ex 肺、リンパ節への転移)して根治が期待できない状態の犬、猫に対して
転移した腫瘍の進行を遅延させる化学療法も行っています。
抗がん剤は副作用が必ずあるのか?
多くの飼い主様から、抗がん剤は副作用が強く危険な治療なのでは?と質問をお受けすることが良くあります。
単純に抗がん剤のみを投与した場合、副作用の発生リスクは増加します。
近年、化学療法及び副作用発生時の治療ガイドライン(VCOG-CTCAE)が明確化されており、
当院では、化学療法後に予想される副作用に対し、積極的な予防治療を実施しています。
しかし、副作用が全くない訳ではありません。
発生した副作用に対し適宜治療を実施しています。
化学療法の行うに前の検査
① 血液検査、画像検査(レントゲン検査、超音波検査)
腫瘍が体のどこにあるのかを特定します。
上記の検査は、全身麻酔等は必要とせず簡易に実施可能です。

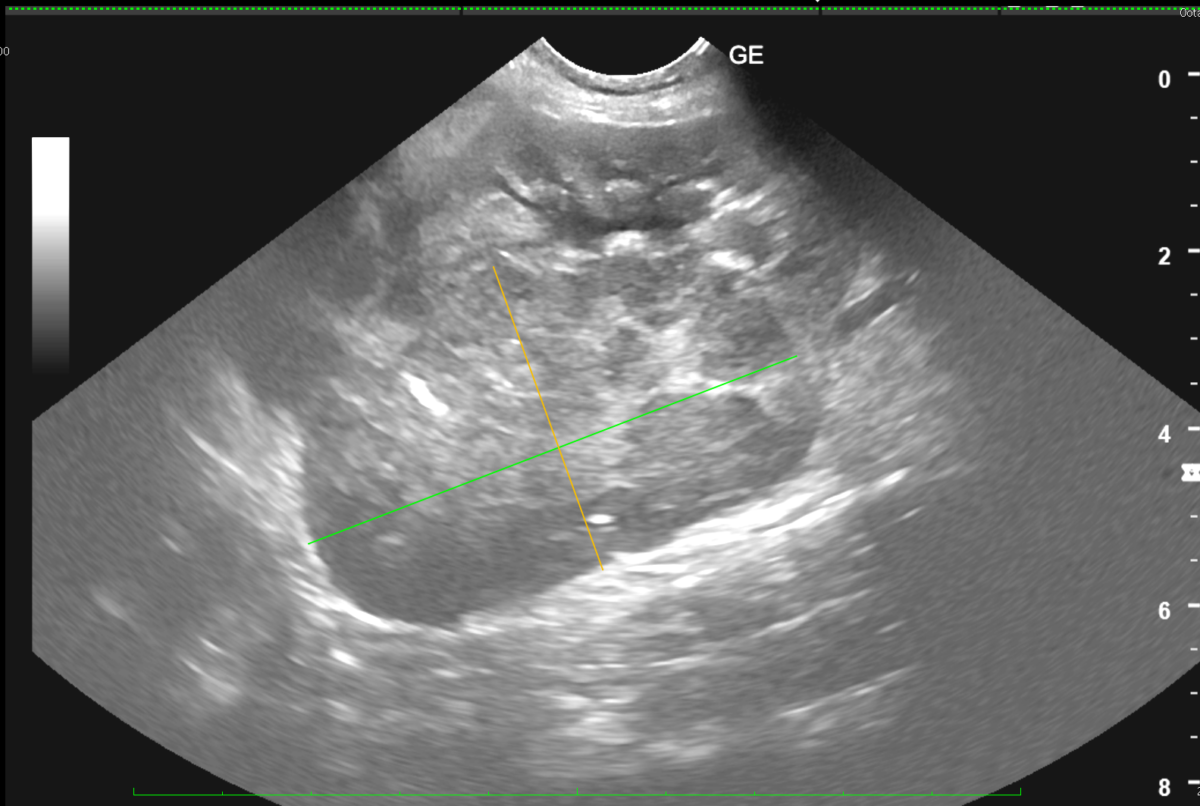
超音波検査画像(雑種猫、3歳)
② 腫瘍の種類の特定
腫瘍の確定診断を実施します。
多くの悪性腫瘍は上記の画像のように、腫瘤(塊)を形成します。
よって、腫瘤に直接針を刺し腫瘍細胞を採材する「針生検(FNA)」を実施します。
採材した細胞を、顕微鏡下にて診断します。
院内での診断が困難な場合、病理検査医へ外注検査を依頼することもあります。

超音波ガイド下FNA
実際の化学療法とは
① 使用する抗がん剤
使用する抗がん剤は、腫瘍の種類によって異なります。
一剤の抗がん剤で治療するケースや、多剤併用(数種類の抗がん剤を使用)するケースもあります。
化学療法の代表例として、多剤併用プロトコールをご紹介します。
ビンクリスチン、サイクロフォスファマイド、ドキソルビシンの3種類の抗がん剤を組み合わせて使用します。
投薬計画は以下の通りになり、週に一度抗がん剤を投与、5週目は抗がん剤の投与は実施しません。
以下の投薬計画を1クールとして、合計4クール実施します。

② 化学療法の手順
化学療法にて受診された際、院内でのスケジュールを説明します。
抗がん剤投与前の検査、抗がん剤の投与をするため、半日入院になります。
※ 化学療法前に体調不良が認められた場合、数日入院する場合もあります。
1 血液検査
ご来院時、血液検査を実施します。
抗がん剤が投与するために必要な条件があり
その中で重要とされる検査項目は、全血検査(赤血球、白血球数、血小板数は十分か?)です。
異常がある場合、抗がん剤治療は延期もしくは追加治療後に実施します。
2 画像検査
レントゲン検査、超音波検査を実施し、治療対象となる腫瘍のサイズを測定します。
また、化学療法実施後の効果測定(腫瘍の退縮は認められたか?)を実施します。
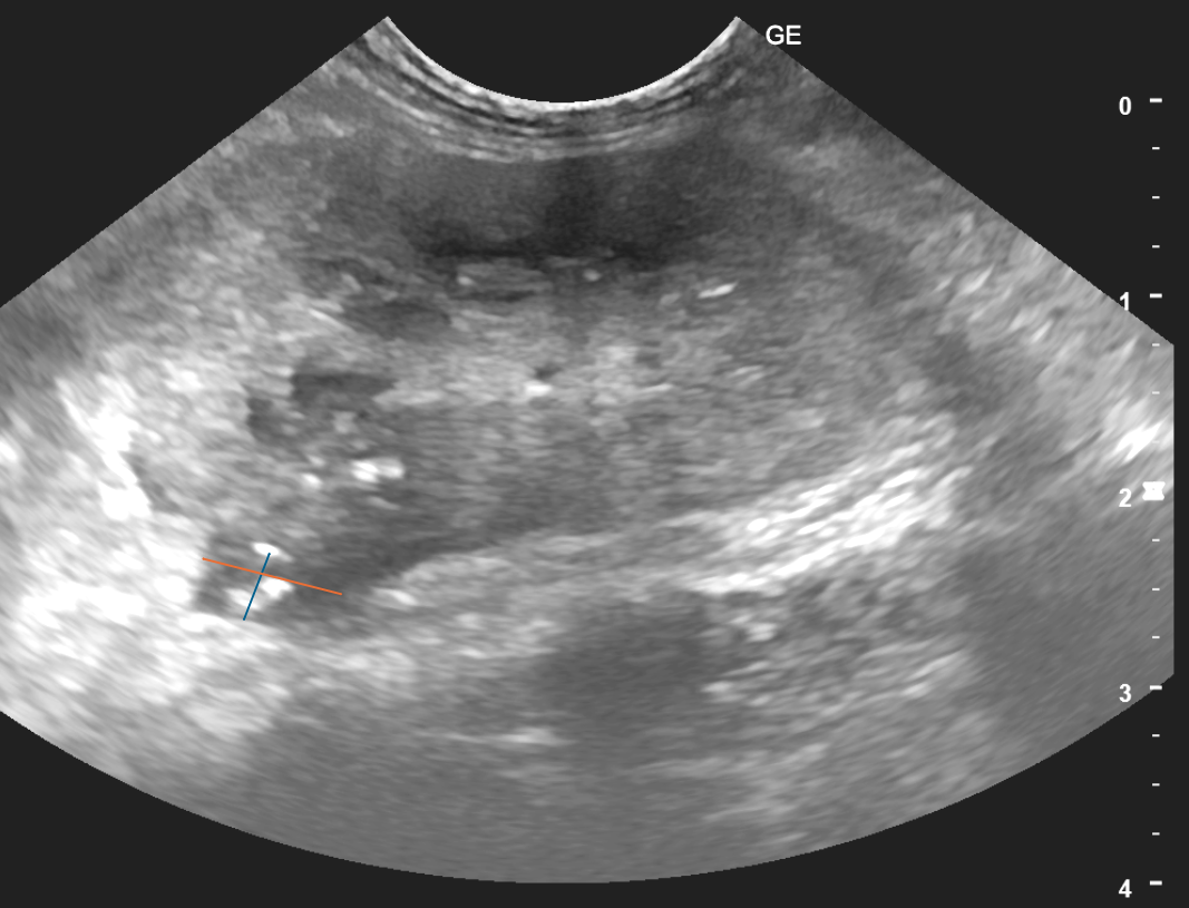
実際に、化学療法を実施した猫の超音波検査画像を記載しました。
化学療法実施前は、腎臓に明らかな腫瘤病変が認められましたが
化学療法実施1週間後には、腫瘤病変はほぼ確認できない程に退縮しています。

超音波検査画像 猫 MIX 3歳 腎臓リンパ腫 化学療法実施前

超音波検査画像 同症例 化学療法実施 1週間後
3 抗がん剤の投与
抗がん剤の多くは注射薬です。
血管にカテーテルを設置し、カテーテルから抗がん剤を注射します。
抗がん剤注射後、体調の変化が無いかを確認し同日退院となります。
退院後、体調に大きな異常が認められなければ、1週間後再診となります。
4 定期検診
一連の化学療法が終了し、完治もしくは寛解した場合
定期的な血液検査、画像検査を実施します。
月に一回の検査を予定しています。
悪性腫瘍を患ったからと言って、治療方法がないわけではなく
適切な診断と治療を実施することで、少しでも長くご家族との時間を作ることが可能であると考えております。
また、定期的な健康診断で、無症状のうちに悪性腫瘍が見つかることもあるため、
年に一度は健康診断の受診をご提案しております。
詳しくは、当院までお問い合わせ下さい。
